- すべて
- 画像・動画
並べ替え:新着順
hvh.jp/eye_harenai_pa… #腫れないパッチリ目 #二重整形 #一重が嫌 で #整形をやりたかった という #症例 です。#整形をする決心がついた と #来院 されました。#重い一重 で、印象を損ねていました。#パッチリ と #目を大きくする ことで #イメージを刷新 pic.x.com/bgMkKcMmgW
icon-generator.net/medical/hana/w… #鷲鼻削り失敗修正 #鷲鼻 が気になり #過去に2回 #鷲鼻削り を行った #症例 です。治療が不十分であるにもかかわらず #これ以上は無理 と言われ、途方に暮れていました。諦めることが出来ず #インターネット で #検索 して #他院修正 を引き受けている #仙台中央クリニック pic.x.com/8RO0KH6eJM
✨理想の鼻は、デザインから始まる✨ デザイン風景を一部ご紹介💡 一人一人のお顔・骨格・ご希望を丁寧にカウンセリングし、あなたに一番似合うデザインをご提案いたします✔ 🔗lin.ee/4qSxTcu #韓国 #韓国整形 #整形 #再手術 #鼻整形 #鷲鼻 #団子鼻 #症例 #美容整形 #yunoplasticsurgery pic.x.com/BPBkAk5oDb
✨二重整形 手術直前のデザイン風景✨ 「こんな二重になりたい!」というイメージを、ミリ単位で調整し、“一番似合うデザイン”と“自然さ”を追求します✨ 💌lin.ee/4qSxTcu #韓国 #韓国整形 #整形 #渡韓整形 #二重整形 #自然癒着 #一重 #埋没 #再手術 #症例 #美容整形 #yunoplasticsurgery pic.x.com/hkuOhQQNT8
icon-generator.net/medical/futae/… #二重埋没法後のゴロゴロ感 #他院 で #二重埋没法 を行った #症例 です。#まぶたの裏 の #ゴロゴロ感 が続くので #修正したい と希望し #仙台中央クリニック に御来院頂きました。#埋没法の糸 が飛び出して #角膜 を #刺激 pic.x.com/5VYlkaoYcq
お仕事のことです! 背中ってなかなか見ることないですが、肩、首、背中がこっていたり疲労感が抜けない方は揉むだけではなく筋膜からケアすると別人のような背中になります。軽くなって 呼吸がしやすく、夜も眠れるようになります。なので症状がひどい方は整体や筋膜リリースが◎ #ルネ北上市 #症例 pic.x.com/JZJsuhJaue
✨ユノで鼻整形を受けられたお客様の素敵なレビュー✨ これから腫れも落ち着き、より自然に仕上がります😊 経過がとても楽しみです🎀 お問い合わせ🔗 lin.ee/4qSxTcu #韓国 #韓国整形 #美容整形 #整形 #輪郭整形 #鼻整形 #鼻フル #二重整形 #症例 #yunoplasticsurgery x.com/VVMMCLxSSo1346…
【✨ユノバランス整形 術後3カ月✨】 腫れも徐々に落ち着き、仕上がりも気に入っていただけて何よりです🤍 これからの経過も楽しみです💫 💌lin.ee/4qSxTcu #韓国 #韓国整形 #整形 #鼻フル #鼻整形 #輪郭整形 #輪郭3点 #団子鼻 #鷲鼻 #症例 #yunoplasticsurgery x.com/biw_0z/status/…
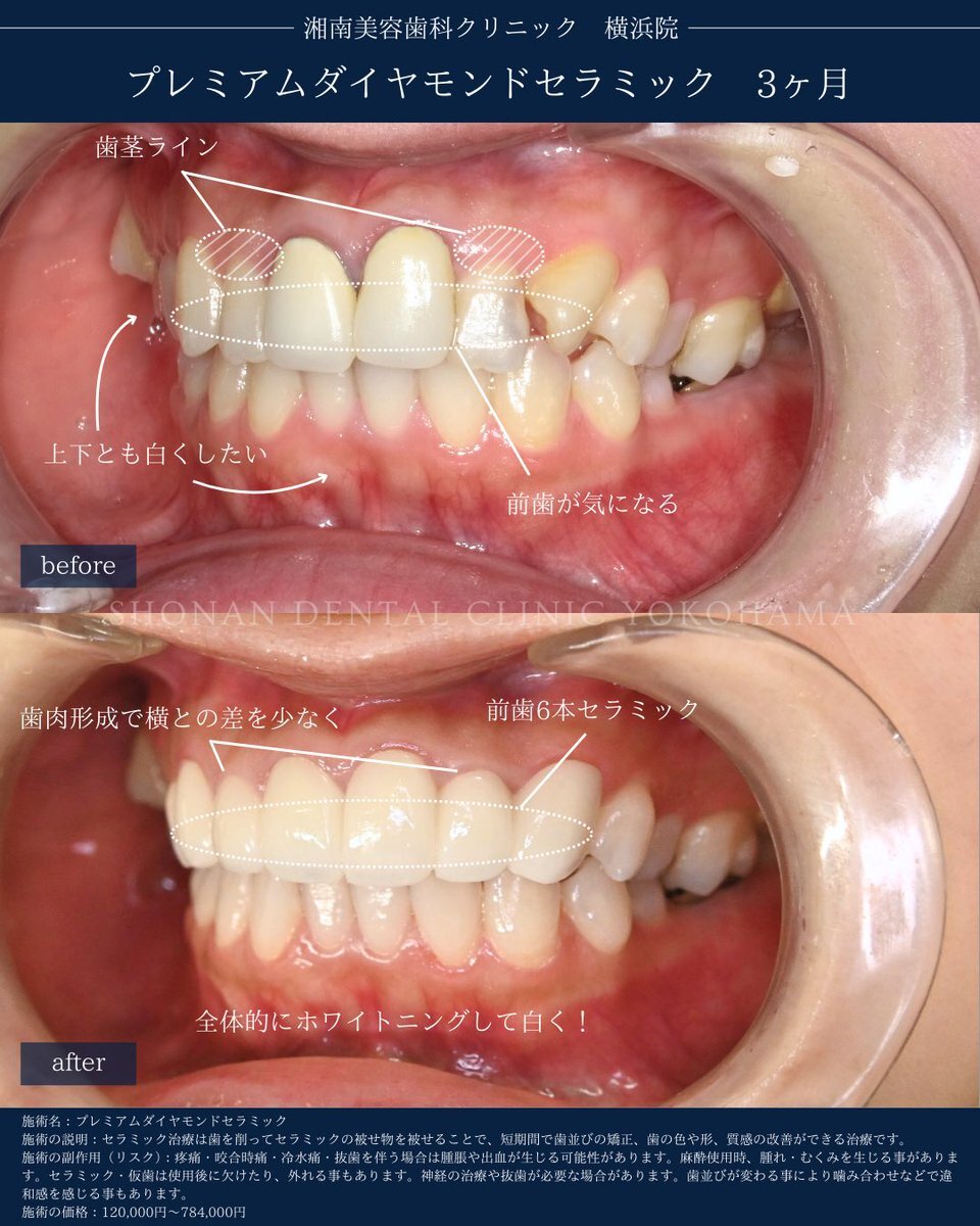
【#症例 】#セラミック ▫️施術:#プレミアムダイヤモンドセラミック ▫️お悩み:結婚式までに綺麗にしたい ▫️矯正期間:2ヶ月 🔸加藤由紀子院長🔸 @sbc_y_kiuchi ──────────────── web予約はこちら ▶︎ s.s-b-c.net/6id7iwbj \モニター応募/ ▶️s.s-b-c.net/cggjx0xb pic.x.com/ES14ErKFQa
夏だけじゃない。 1年中、意外と見られているのが 足です🦶 足脱毛をするだけで“清潔感”は一気に跳ね上がります✨ 今回は、医療脱毛の症例をもとに どれほど見た目が変わるかを解説します👨⚕️ #脱毛 #症例 #ビフォーアフター pic.x.com/dOZr3Ax0bP
【ユノ10点留め自然癒着:抜糸の様子をお届け✨】 10点の癒着ポイントで解けない強力な固定力なのに自然な仕上がり🎀 あなたの雰囲気にぴったりのデザインをご提案します✔ 💌lin.ee/4qSxTcu #韓国 #韓国整形 #整形 #渡韓整形 #二重整形 #自然癒着 #再手術 #症例 #yunoplasticsurgery pic.x.com/RUySc3d9ja
✨ユノで自然癒着を受けられたお客様の素敵なレビュー✨ 綺麗なアウトラインに仕上がっています✔ これから腫れが引き、より自然に馴染んでいくのが待ち遠しいです🌈 💌lin.ee/4qSxTcu #韓国 #韓国整形 #美容整形 #整形 #輪郭整形 #鼻整形 #鼻フル #二重整形 #症例 #yunoplasticsurgery x.com/moon_kuro_x/st…
ユノ美容外科【@Yunojp2 】で自然癒着をしました。 左右差が気になっていたのですが左右差もなく綺麗なアウトラインにして頂きとても嬉しいです! 受付の方も皆さんとても優しく院長先生はすごく丁寧に幅なの調整してくださった寄り添ってくださったのですごく満足しています!!
✨ユノで目元の整形を受けられたお客様の素敵なレビュー✨ とても綺麗なラインに仕上がっています😊 これから腫れが引くのが待ち遠しいです🌷 お問い合わせ🔗 lin.ee/4qSxTcu #韓国 #韓国整形 #美容整形 #整形 #輪郭整形 #鼻整形 #鼻フル #二重整形 #症例 #yunoplasticsurgery x.com/MachikoMochiko…
【✨手術前→手術後1週間✨】 ✔異物除去(ハイコノーズ) ✔骨切り幅寄せで鼻筋の幅を調整 ✔鼻先は理想の形・高さに ✔自家肋軟骨使用 ご予約・お問い合わせ💌 lin.ee/4qSxTcu #韓国 #韓国整形 #整形 #鼻フル #鼻整形 #団子鼻 #鷲鼻 #症例 #再手術 #美容整形 #yunoplasticsurgery pic.x.com/T9M0KWPoXg
📢ブログを更新しました✨️ 今回はユノでバランス整形(鼻+輪郭手術)をうけられたお客様のリアル経過をご紹介🤍 お写真・CTあり◎ 手術をご検討中の方大必見です💎 ameblo.jp/yunops/entry-1… #韓国 #韓国整形 #整形 #yunoplasticsurgery #輪郭整形 #鼻フル #鼻整形 #症例
術後レポ引用させていただきます🥰 #内視鏡額リフト #エンドタイン #症例 #左右差 #目整形 #シュガー美容外科 #キムジンヒョン院長 🔻公式ブログ ameblo.jp/sugarps/ x.com/mai425114/stat…
術後10日目👀 額リフトの方も抜糸😊 髪の毛まともに洗えないからほぼ引きこもってた.. 他院抜糸で有名な日本のクリニックで複合手術したのに10日でこんなに内出血少ないんですか?傷跡も小さいし綺麗だしそれで日本より安いとか本当すごい!! って言われた🤭 院長に感謝♡もうちょっとDT頑張る😤
【💎ユノバランス整形💎】 360度どこから見ても完璧なラインを✨ 手術前→手術翌日のCT 顎先縮小・エラ縮小で実際に骨切りしたものです😊 💌お問い合わせください✔ lin.ee/4qSxTcu #韓国 #韓国整形 #整形 #鼻フル #鼻整形 #輪郭整形 #輪郭3点 #団子鼻 #鷲鼻 #症例 #yunoplasticsurgery pic.x.com/7cklTfNv2O
✨ユノで鼻整形を受けられたお客様の素敵なレビュー✨ 腫れも落ち着いてきて、完成に近づいてきています🌷 これからの経過も楽しみです😊 お問い合わせ🔗 lin.ee/4qSxTcu #韓国 #韓国整形 #美容整形 #整形 #輪郭整形 #鼻整形 #鼻フル #二重整形 #症例 #yunoplasticsurgery x.com/HgxLb/status/1…
【🎀ユノバランス整形 術後1カ月🎀】 腫れも落ち着き、理想のデザインに✨ ✅頬骨縮小、皮質骨切り、顎先前進、長曲線回し切り ✅鷲鼻矯正、鼻尖形成術、自家肋軟骨 💌lin.ee/4qSxTcu #韓国 #韓国整形 #整形 #鼻フル #鼻整形 #輪郭整形 #輪郭3点 #団子鼻 #鷲鼻 #症例 #yunoplasticsurgery pic.x.com/r7qvcpDImv
✨ユノバランス整形を受けられたお客様の素敵なレビュー✨ 輪郭+鼻手術でバランスの取れたデザインに😊 これからの経過も楽しみです🎗 お問い合わせ🔗 lin.ee/4qSxTcu #韓国 #韓国整形 #美容整形 #整形 #輪郭整形 #鼻整形 #鼻フル #二重整形 #症例 #yunoplasticsurgery x.com/biw_0z/status/…
人気ポスト
広瀬すずちゃん本当小さい時から顔完成されてるな
ボーナス入ったから本たくさん買ってきた😆!!! を味わいたくて家にある積読を紙袋に入れて写真撮ったやつ。
いいですか、落ち着いて聞いてください 今年は2025年ですが、雨森小夜と鈴原るるが、帰ってきました まさに2人とも4年ぶりです
ワイのモニターこれ!?
これは警告だ…🚨
うちの近くのローソン見て
【高騰】今後パソコンが「かつてないレベルで値上がりする」購入タイミングを助言 news.livedoor.com/article/detail… 戸田覚氏は、AIデータセンターの需要増により個人向けPC部品の生産ラインが圧迫され、メモリやSSDの価格が高騰していると説明。PCは「今購入することが最善」と結論付けた。
通りすがりのカップルに 「小さいガンダム」て 言われてた やぁ、小さいガンダム(白目)
あ、これは指定校側の意見ですね
階段で 娘を待ってる姿が 可愛すぎる😍

SNSのバズまとめ
SNSのバズまとめ一覧



