自動更新

並べ替え:新着順

ベストポスト
メニューを開く

PR @infoseven333 ✅症例数100万件以上の安心安全なマウスピース矯正【GALLEIDO DENTAL Aso Aligner】が始まります!全体矯正・部分矯正に対応。契約者にはお祝い金と1年間分の電動歯ブラシをプレゼント!今すぐチェック!#矯正歯科 #GALLEIDO ↓ ↓ ↓ t.afi-b.com/visit.php?a=W1… pic.x.com/kj4CVZyqUG

ネットショップ@infoseven333

メニューを開く

当院在籍の矯正専門医による矯正日のお知らせです🎵 優しく気さくな先生なので、気になる歯並びの事はお気軽にご相談ください😊 #矯正歯科 #前歯 #西宮 pic.x.com/LfPseJwxAv

丸山歯科クリニック@maruyama_haisha

メニューを開く

歯と歯の間の汚れは、 適切な歯間ブラシを使用することで、 歯周病予防、虫歯予防につながります。 あやクリニック 歯科・皮ふ科 ℡049-299-6106 川越市中原町2-2-1 本川越駅徒歩2分 川越市駅徒歩6分 #クラプロックス #curaprox #歯ブラシ #歯間ブラシ #川越 #本川越 #歯科 #口腔外科 #矯正歯科 pic.x.com/KswpEVwvy2

本川越 あやクリニック歯科・皮ふ科 のあや先生@ayaclinic

メニューを開く

\ Pepo 通信👆/ 【🦷矯正歯科さんのためのFileMakerカスタムApp】 矯正歯科医院さんと開発したシステムを販売しています!患者さんの細やかな情報管理をしたい医院さんへ🦷(スレッドに続く👇) #企業公式相互フォロー #矯正歯科 #FileMaker pic.x.com/pP7OEMQflW

㍿Pepo - 業務システム&事務代行@Pepo_Info

メニューを開く

はじめまして! 某・銀座エリアの矯正専門クリニックで カウンセラーをしている者です🦷 現役カウンセラー×矯正経験者の目線から、 「矯正って、実際どうなの?」にホンネでお答えします💬 💌 質問箱はこちら →【marshmallow-qa.com/cfs0mjrf38t9uz…#矯正歯科 #質問箱 #歯列矯正

銀座界隈の矯正歯科カウンセラー@ginza_counselor

メニューを開く

Youtube動画『 矯正で歯を削る!? その理由を1分で解説します! 』を公開しました🎦 youtu.be/PDEwPWTwz4Y 矯正治療でも「歯を削ります」と言われることがあります。 そう言われると不安ですよね…🥶 そこで、歯を削る理由やリスクについて この動画でご説明します✨ #歯並び #矯正歯科 pic.x.com/W0HejSHAXH

岡山 なかの歯科・矯正歯科クリニック@nakano_dental

メニューを開く

おはようございます🌞 東京の天気は☀️ 今日は🦷のお仕事です✨ 来てくださる方の健康と笑顔のためにがんばります👨🏻‍⚕️ #歯医者 #矯正歯科

アシタカ(仮)@365hamaruTV

メニューを開く

撤去冠など歯科スクラップ金属のご売却ならリークル💁‍♂️✨ . 未使用製品も!最高値水準となっております🙆‍♂️✨ 下記URLより本日の買取価格をご確認ください🙇‍♂️ kinpara-recru.com/product/ . #歯科医院 #歯科クリニック #歯科 #撤去冠 #歯医者さん #矯正歯科 #インプラント #デンタルクリニック pic.x.com/dcZGez3mB1

株式会社リークル@recrushika

メニューを開く

撤去冠など歯科スクラップのご売却なら リークル💁‍♂️✨ 撤去冠といえばリークル💁‍♂️✨ . 本日の歯科スクラップ買取価格は 下記URLよりご確認ください🙇‍♂️✨ kinpara-recru.com/scrap/ #歯科医院 #歯科クリニック #デンタルクリニック #歯科 #歯医者さん #歯医者 #矯正歯科 #インプラント pic.x.com/UdWHOOy6RK

株式会社リークル@recrushika

メニューを開く

おはパンダ🐼 天王寺のMKO木下矯正歯科です 11/11(火)の診療時間は、 13時30分~19時30分です。 YouTube 木下矯正歯科の「子育て応援ちゃんねる」登録よろしくお願いします! youtube.com/@mko-gg3zw #天王寺 #矯正歯科 #木下矯正歯科

医療法人MKO木下矯正歯科@mkoortho

メニューを開く

矯正が必要かどうかの判断って、実は見た目だけじゃ決まりません🦷 大切なのは「このまま放っておいて、80歳で20本の歯を残せるか?」という“将来の機能”に目を向けること。 でも、矯正=審美と考える先生は、この視点がごっそり抜けていることも…😢 #8020運動 #矯正歯科

たむこ@矯正治療で後悔する前に@kalpos_labo

メニューを開く

おはパンダ🐼 天王寺のMKO木下矯正歯科です 11/10(月)の診療時間は、 13時30分~19時30分です。 YouTube 木下矯正歯科の「子育て応援ちゃんねる」登録よろしくお願いします! youtube.com/@mko-gg3zw #天王寺 #矯正歯科 #木下矯正歯科

医療法人MKO木下矯正歯科@mkoortho

メニューを開く

日本矯正歯科学会認定医が #学生さん から #社会人 の方までの 矯正を幅広く対応しております おとなの歯列矯正 福岡市早良区の #矯正歯科 #小児矯正 #うえき矯正歯科 #表側矯正 #舌側矯正 #インビザライン  ↓ ↓ ↓ ueki-dc.com/dc001/?utm_sou… #福岡市 #矯正歯科 #早良区 #西区 #城南区

メニューを開く

矮小歯(ちっちゃい歯)や、もともと生えてこない歯(先天欠如歯)がある人は要注意🦷 咬み合わせにトラブルが出やすいから、矯正治療を組み合わせるのがオススメです👌 見た目だけじゃなく、しっかり咬めるお口をめざしましょう! #矯正歯科 #矮小歯 #先天欠如 #咬合 #歯並びと健康

たむこ@矯正治療で後悔する前に@kalpos_labo

メニューを開く

永久歯が生えそろう中学生は、成長期の骨格変化も残っているので🦷矯正に理想的なタイミング😆❣️ 今回は14歳 #出っ歯#抜歯なし #症例 をご紹介🎵 #ビフォアフ 画像も👍✨ 詳しくは👉shin-ortho.com/blog/5816/ #中学生 #さいたま市 #大宮 #矯正歯科 #歯列矯正 #駅近 #インビザライン #マウスピース

大宮SHIN矯正歯科@y_orthodontics

メニューを開く

11/7(金)本日は通常診療です。 お痛み等でお困りの方は応急処置しますので、お早めにご連絡ください。 なお、1月より矯正歯科【土曜日】の枠が増えます。 平日の通院が難しい方、この機会に歯並びをきれいに整えませんか。 まずは無料相談から。お気軽にお問い合わせください。 #歯列矯正 #矯正歯科 pic.x.com/07kgpQyIOd

アイリス歯科・矯正歯科(モラージュ菖蒲3F)@irisdc_kuki

メニューを開く

【床矯正という選択肢】 床矯正、「しょうきょうせい」と読みます。読みの「しょう」を「小」として小矯正と思う方もいるようです。床矯正は乳歯と永久歯が混在する小児でもっぱら使用されるため。 manamidentalclinic.com/blog/180601/ #歯医者 #矯正歯科 #小児矯正 #中野 #一次矯正 #小児歯科

マナミ歯科クリニック@manami_dental

メニューを開く

📢【日本人こそ、歯科の重要性を知るべき理由】 日本人は、顎が小さく歯が大きく、歯槽骨も薄め。その結果、歯が長持ちしにくく、将来トラブルになりやすい💥 実は、歯科医療って日本人にとって“特に”大事な医療なんです🦷✨ #矯正歯科 #歯科の大切さ #予防歯科 #健康寿命

たむこ@矯正治療で後悔する前に@kalpos_labo

メニューを開く

こんにちは!桑名COCO歯科・矯正歯科の齋藤拓実です。 憂鬱以上、うつ未満。半うつ。勉強なりますっ🦷 #うつ # #半うつ #精神 # #睡眠 #メディカル #medical #医療 #手術 #サンシパーク #桑名 #桑名市 #いなべ #いなべ市 #東員 #読書 # # #book #歯科 #歯医者 #矯正 #矯正歯科 pic.x.com/j7c03T5lnv

桑名COCO歯科・矯正歯科@kuwanaCOCO

メニューを開く

おはパンダ🐼 天王寺のMKO木下矯正歯科です 11/5(水)の診療時間は、 13時30分~19時30分です。 YouTube 木下矯正歯科の「子育て応援ちゃんねる」登録よろしくお願いします! youtube.com/@mko-gg3zw #天王寺 #矯正歯科 #木下矯正歯科

医療法人MKO木下矯正歯科@mkoortho

メニューを開く

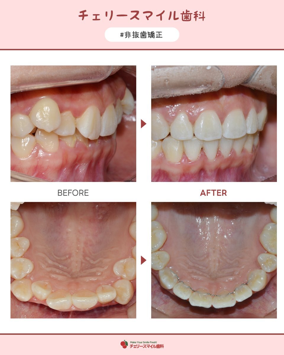
歯科医師たちも信頼する矯正専門医。 23年のキャリアと3,000件以上の症例で、 あなたの笑顔をもっと美しく✨ #チェリースマイル歯科 🔗 line.me/ti/p/BPx9EU1OHt #矯正歯科 #韓国美容 #歯並び矯正 #韓国歯科 #美容歯科 #歯科矯正 #スマイルデザイン #審美歯科 pic.x.com/MbzwRFIO2W

韓国歯科🍒チェリースマイル歯科🍒@cherrysmile_jp

メニューを開く

おはパンダ🐼 天王寺のMKO木下矯正歯科です 11/4(火)の診療時間は、 13時30分~19時30分です。 YouTube 木下矯正歯科の「子育て応援ちゃんねる」登録よろしくお願いします! youtube.com/@mko-gg3zw #天王寺 #矯正歯科 #木下矯正歯科

医療法人MKO木下矯正歯科@mkoortho

メニューを開く

こんにちは!桑名COCO歯科・矯正歯科の齋藤拓実です。 11月は8020推進月間🦷もうすぐいい歯の日です😊 #病気 #病院 #ケガ #外来 #入院 #救急 #メディカル #medical #医療 #サンシパーク #桑名 #桑名市 #いなべ #いなべ市 #東員 #菰野 #四日市 #四日市市 #三重 #歯科 #歯医者 #矯正 #矯正歯科 pic.x.com/EZ2jQAfWCf

桑名COCO歯科・矯正歯科@kuwanaCOCO

メニューを開く

なるべく他人に気づかれずに歯列を矯正 金属アレルギーなしの #インビザライン#マウスピース型矯正装置)が大人気 負担なく歯型取りが出来る『iTero(アイテロ)』も導入 福岡市早良区の #矯正歯科 #小児矯正 #うえき矯正歯科  ↓ ↓ ↓ ueki-dc.com/dc004/?utm_sou… #福岡市 #矯正歯科 #歯列矯正

メニューを開く

おはパンダ🐼 天王寺のMKO木下矯正歯科です。 11/1(土)の診療時間は、 10:00~12:30 14:00~17:00です #天王寺 #矯正歯科 #木下矯正歯科 #大阪

医療法人MKO木下矯正歯科@mkoortho

メニューを開く

抜かずにここまでまとめるなんて🦷✨ #チェリースマイル歯科#非抜歯矯正で ナチュラルに爽やか、笑顔の印象も変わる☺️💫 👉 line.me/ti/p/BPx9EU1OHt #韓国歯科 #韓国美容 #歯列矯正 #矯正歯科 #ナチュラル矯正 #笑顔デザイン #垢抜けた女性 #韓国旅行美容 #ビフォアアフター #症例写真 pic.x.com/1pA3Da2X9E

韓国歯科🍒チェリースマイル歯科🍒@cherrysmile_jp

メニューを開く

おはパンダ🐼 天王寺のMKO木下矯正歯科です。 10/31(金)の診療時間は、 13時30分~19時30分です。 ハッピーハロウィン🎃👻 #天王寺 #矯正歯科 #木下矯正歯科 #大阪関西万博 #Halloween2025 pic.x.com/xJSzlXJdT2

医療法人MKO木下矯正歯科@mkoortho

メニューを開く

つくば研究学園矯正歯科クリニック、11月と12月の休診日をお知らせいたします。 tk-smile.com/archives/news/… よろしくお願いいたします #つくば #研究学園 #矯正歯科

つくば研究学園矯正歯科クリニック@tsukubakyousei

メニューを開く

#マウスピース だけだと治療時間がかかる歯並びも #ワイヤー併用 で短縮できます👍 「でもワイヤーは目立つ…😣」 そんな方は #ホワイトワイヤー がおすすめ✨ 実際着けている写真もお見せします🎵 詳しくは👉shin-ortho.com/blog/3284/ #さいたま市 #大宮 #矯正歯科 #歯列矯正 #駅近 #インビザライン

大宮SHIN矯正歯科@y_orthodontics

メニューを開く

韓国へ来たらどーーーしても食べたくて。 紙コップでつぶしたら食べれることに気づいた🤣 #矯正歯科 #韓国 #タンフル #フルーツ飴 pic.x.com/85tDAYE9Wd

メニューを開く

「歯列矯正したいけど、クリニック選びって何に注意すればいいの?」 これ、本当に大事な疑問ですよね!💡 松本先生が後悔しないための超重要ポイントをお話しました! #矯正歯科 #歯列矯正 #歯並び矯正 #大阪矯正歯科グループ #クローバー歯科 pic.x.com/spkZlJtZPC

大阪矯正歯科グループ@osaka_kyousei

メニューを開く

ハロウィンのフラワーアートがとても可愛いので紹介します🎃カボチャと唐辛子が入っていてハロウィンっぽいです🌶️ #衛生士のたまご #歯科医師 #岐阜県関市 #岐阜県 #岐阜県歯医者 #歯科衛生士 #歯科衛生士募集 #歯科医院 #歯科クリニック #矯正歯科 pic.x.com/EPbhyjsNG7

えんどう歯科・矯正歯科クリニック@endodc

メニューを開く

えんどう歯科・矯正歯科クリニック@endodc

メニューを開く

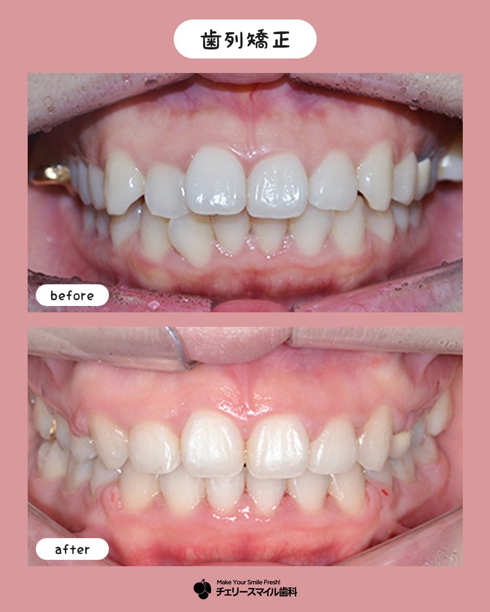
#チェリースマイル歯科 の歯列矯正🦷✨ ずれていた歯並びが整って、笑顔に自信が持てるように☺️ 少しずつ変化を実感しながら、理想のスマイルへ💫 #韓国美容 #韓国歯科 #歯列矯正 #矯正歯科 #ビフォーアフター #笑顔デザイン #美しい歯並び #韓国整形 pic.x.com/KCuJCIMuoH

韓国歯科🍒チェリースマイル歯科🍒@cherrysmile_jp

メニューを開く

治療中、気になることはありませんか?🦷✨ #チェリースマイル歯科 では、 どんな小さな不安や疑問にも丁寧にお答えします☺️ 📩 LINEで相談はこちら👇 👉 line.me/ti/p/BPx9EU1OHt #韓国歯科 #韓国美容 #歯列矯正 #矯正歯科 #丁寧なカウンセリング #信頼できる歯医者 #韓国旅行 #韓国美容好き pic.x.com/rpzMkZEA3F

韓国歯科🍒チェリースマイル歯科🍒@cherrysmile_jp

メニューを開く

アメブロを投稿しました。 『ひがし歯科秋祭り2025』 #アメブロ #矯正歯科 ameblo.jp/2026nogami/ent…

すず💎🍍@ngmsz__

メニューを開く

おはパンダ🐼 天王寺のMKO木下矯正歯科です。 10/27(月)の診療時間は、 13時30分~19時30分です。 もうすぐハロウィン🎃👻 ✅youtube.com/@mko-gg3zw #天王寺 #矯正歯科 #木下矯正歯科 #大阪関西万博 #USJハロウィーン pic.x.com/1td4B6uKCG

医療法人MKO木下矯正歯科@mkoortho

トレンド1:41更新

  1. 1

    アニメ・ゲーム

    モジャンボはかせ

    • モジャンボ
    • うすチュウ
    • ドーブル
    • うすいろ
    • こけむし
    • ニンゲン
    • こけカビゴン
    • カビゴン
    • ぽこあポケモン
    • メタモン
    • 映像公開
    • ポケモン
    • ぽこあ
    • 予約特典
  2. 2

    エンタメ

    松倉海斗

    • 日本テレビ
    • Travis Japan
    • 松田元太
  3. 3

    エンタメ

    目に焼き付け

    • 嬉しくて
  4. 4

    エンタメ

    松田好花

    • オールナイトニッポンX(クロス)
    • 日向坂46
    • ニッポン放送
    • オールナイトニッポンX
  5. 5

    ニュース

    石破前首相

    • 台湾問題
    • 悪いんですか
    • 毎日新聞
    • 中国依存
  6. 6

    アニメ・ゲーム

    うすいろピカチュウ

    • うすチュウ
    • ドーブル
    • うすいろ
    • こけむし
    • こけカビゴン
    • カビゴン
    • ぽこポケ
    • 白いピカチュウ
    • ピカチュウ
    • 予約特典
  7. 7

    アニメ・ゲーム

    ビルダーズ

    • ポケモンビルダーズ
    • ビルダーズ3
    • コーエーテクモ
    • コエテク
    • コーエー
    • マイクラ
    • あつ森
  8. 8

    ヤマト運輸

    • クロネコヤマト
    • ベトナム人
    • 27年から
    • 500人
    • 5年間
    • バカだな
    • 発表した
    • 2027年
    • 日本経済新聞
    • 3万人
  9. 9

    ITビジネス

    今際の国のアリス

    • ガチャ
  10. 10

    アニメ・ゲーム

    モジャンボ博士

    • モジャンボ
    • カビゴン
    • わざマシン
    • ぽこあぽけもん
20位まで見る

人気ポスト

電車遅延(在来線、私鉄、地下鉄)

遅延している路線はありません

全国の運行情報(Yahoo!路線情報)
よく使う路線を登録すると遅延情報をお知らせ Yahoo!リアルタイム検索アプリ
Yahoo!リアルタイム検索アプリ